最近の症例から
歯は噛むための道具です。上下の歯は鋏(はさみ)の役目や、お餅をつくときの杵(きね)と臼(うす)の関係にあります。
歯の有難みは、虫歯で噛めない時にしか、なかなか理解できません。
痛みでしっかり噛めなくなると、食べ物の味を感じることができなくり、全く美味しくありません。
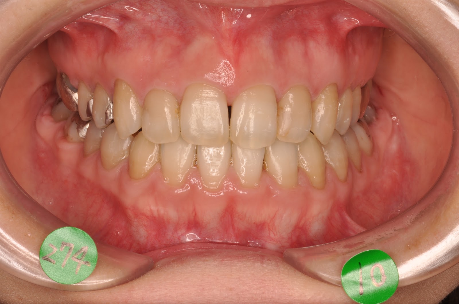
写真の患者も虫歯の治療で通っている歯科医師からの指摘で来院しました。
全く左の方では噛めない状態です。
その上乳歯が生え替わっていません下には永久歯があります。
乳歯を下にあった永久歯を牽引して交替させました。
これで左右でしっかり美味しい食事ができるようになりました。





