矯正歯科のブログなのに
今年は症例を2回しか載せていません
下記クリックでブログへ
○インプラントか矯正か⑤
○安心してくださいはいってます
今年の最後は矯正症例で
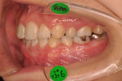
典型的な乱ぐい歯〔叢生症例です)
前歯の何本かが逆の噛み合せになって
噛むときにロックされます。
これでは食事で噛む時に下顎が自由に動きません。
下の前歯が逆になって上の歯から打撃を受け歯ぐきが下がっています
このままでは歯の寿命もあまりないでしょう
上の歯並び
![]() |
| ビフォー |
![]() |
| アフター |
下の歯並び
![]() |
| ビフォー |
![]() |
| アフター |
![]() |
| アフター |
![]() |
| ビフォー |
![]() |
| アフター |













